Cad Aten Primaria 2017; 23 (2):22
FIGURAS
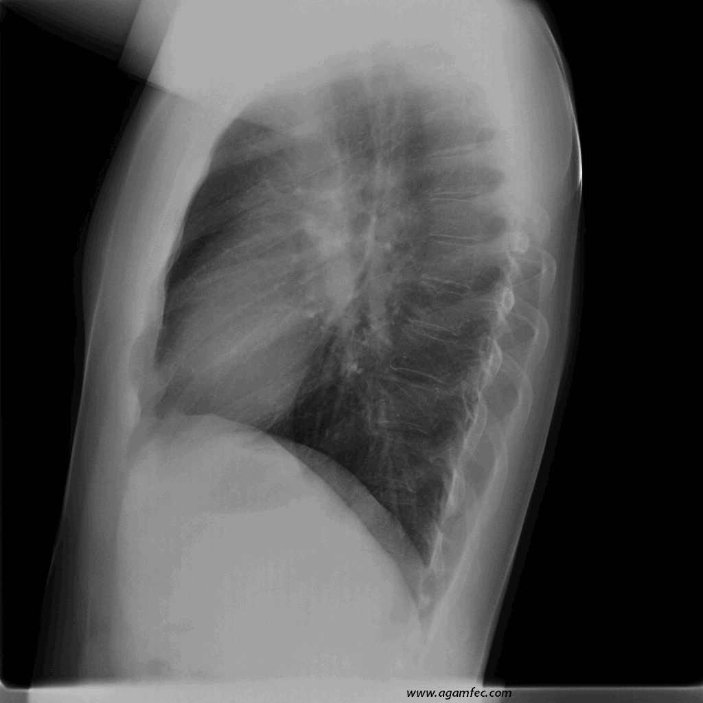
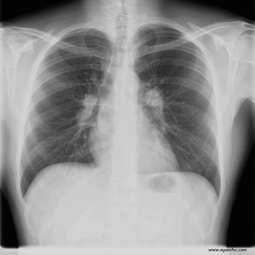
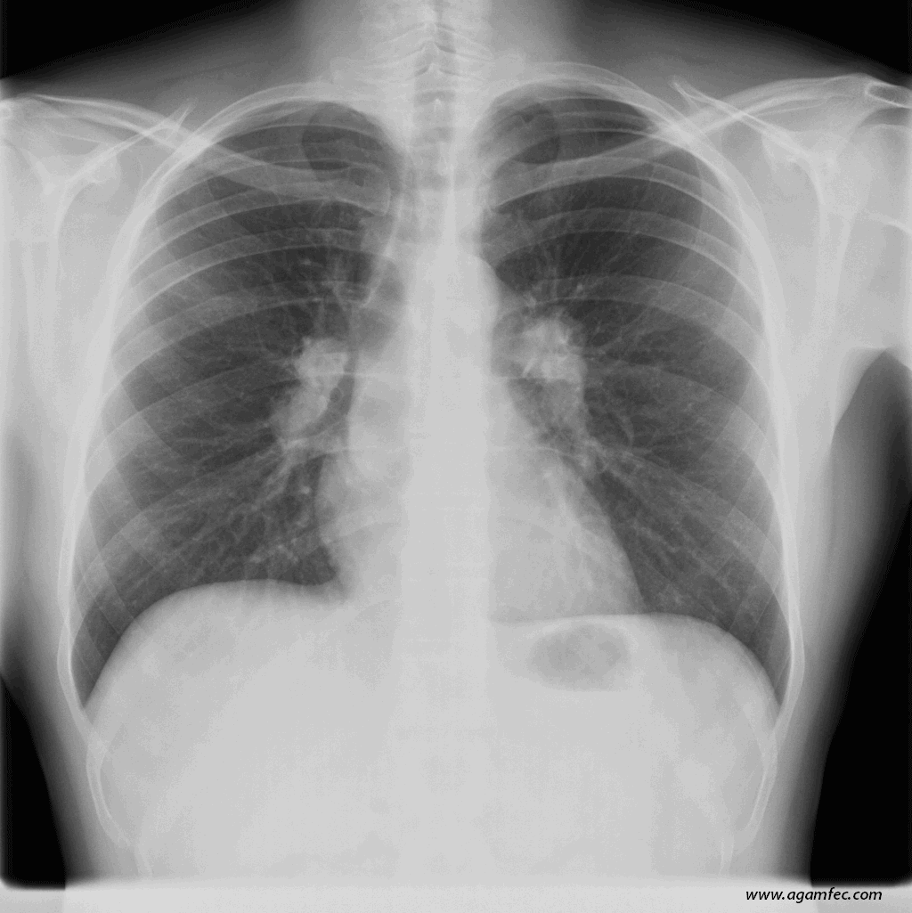
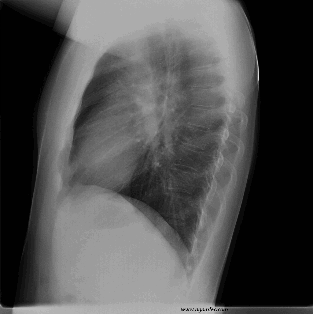
Figura 1. Radiografía de tórax PA y lateral de paciente con Eritema Nodoso, en la que se observan adenopatías hiliares bilaterales, sugestivas de Sarcoidosis
Descargar numero en pdf: caderrnos2017-2-final
Sumario – Volume 23 (2). Decembro 2017.



